| 病名 | 漏斗胸 |
| 別名 | pectus excavatum |
漏斗胸是一種先天性并常常是家族性的疾病。男性較女性多見,有報導男女之比為4︰1,屬伴性顯性遺傳。
bubble_chart 病因學
大多數人認為漏斗胸是由於下胸部肋軟骨及肋骨發育過度,胸骨代償性地向後移位而形成的畸形。
漏斗胸是胸骨、肋軟骨及一部分肋骨向脊柱凹陷形成漏斗狀的一種畸形,絕大多數漏斗胸的胸骨從第二或第三肋軟骨水平開始向後,到劍突稍上一點處為最低點,再返向前形成一船樣畸形。兩側或外側,向內凹陷變形,形成漏斗胸的兩側壁。漏斗胸的肋骨走行斜度較正常人大,肋骨由後上方急驟向前下方凹陷,使前後變近,嚴重時胸骨最深凹陷處可以抵達脊術。年齡小的漏斗胸患者畸形往往是對稱性的,隨著年齡的增長,漏斗胸畸形逐漸變得不對稱,胸骨往往向右側旋轉,右側肋軟骨的凹陷往往較左側深,右側乳腺發育較左側差。後胸部多為平背或圓背,脊柱側彎隨年齡逐漸加重,年齡小時不易出現脊柱側彎,青春期以後患者的脊柱側彎較明顯。漏斗胸畸形壓迫心肺,心臟多數向左側胸腔移位。兒童往往表現為一種獨特的虛弱姿勢:頸向前伸,圓形削肩,罐狀腹。
漏斗胸多見於15歲以下的兒童,很少見到40歲以上的患者,這可能是因為漏斗胸及脊柱側彎壓迫心肺,損害呼吸和循環功能,致使患者存活時間縮短,40歲以前就已去世。
輕微的漏斗胸可以沒有症狀,畸形較重的壓迫心臟和肺,影響呼吸和循環功能,肺活量減少,功能殘氣量增多,活動耐量降低。幼兒常反覆呼吸道 感染,出現咳嗽、發熱,常常被診斷為支氣管炎或支氣管喘息。幼兒循環系統症狀較少,年齡較大的可以出現活動後呼吸困難、脈快、心悸,甚至心前區疼痛,主國是因為心臟受壓、心排血量在運動時不能滿足需要,心肌缺氧,因而引起疼痛。有些患者還可以出現心律失常,以及收縮期雜音。
漏斗胸有時合併肺發育不全、Marfan綜合徵、哮喘等疾病,這些疾病合併存在時常常成為患者不可耐受的畸形,往往需要盡早手術糾正。
漏斗胸在臨床上非常容易診斷,畸形一目瞭然。但要確定漏斗胸的嚴重程度則是比較困難的,目前臨床上有很多描述方法。
1.體表波紋分域圖是客觀描述畸形的一種方法 它利用光源和格子的投照方法,將胸壁凹陷部分的波紋等高線圖像拍照下來,依據波紋等高線的間隔及數目,經數字轉換器輸入電子計算機,計算出凹陷部分的容積,確定漏斗畸形的嚴重程度,并可評估手術治療的效果。2.漏斗指數(FI) 是另一種表達畸形的方法(圖1)。
| FI | = | a×b×c |
| A×B×C |

圖1漏斗指數及其測量方法示意圖
a.漏斗胸凹陷部的縱徑;b.凹陷部的橫徑;c.凹陷部的深度;
A.胸骨的長度;B.胸廓的橫徑;C.胸肌角至椎體的最短距離
判斷漏斗胸凹陷程度的標準是:
重度:FI>0.3,中度0.3>FI>0.2,輕度:FI<0.2
3.漏斗部注水測量水量 令患者仰臥,在漏斗部注水然後測量水量,也可以瞭解漏斗胸的嚴重程度,重症漏斗胸的容水量可達200ml左右。有人用橡皮泥填充在漏斗胸內,塑形後取出橡皮泥,浸入水中就可以很容易地測出漏斗胸凹陷部的容積。
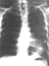
X線檢查可以見到肋骨的後部平直,前部向前下方急傾斜下降,心影多向左側胸腔移位,心影的中部有一個明顯的放射線半透明區(圖2),右心緣常與脊柱重疊,個別嚴重的患者心影可以完全位於左胸腔內,年齡較大的患者脊柱多有側彎。側位胸片可以看到胸骨體明顯向後彎曲,有的胸骨下端可以抵達脊柱前緣。

圖2漏斗胸的X線檢查
後前位照片:漏斗胸的心影中透明區
胸部CT片更能清楚地顯示胸廓畸形的嚴重程度及心臟受壓移位程度。
心電圖可以表現為V1的P波倒置或雙向,也可以有右束支傳導阻滯,心導管檢查可以描記至舒張期斜坡和平台,與縮窄性心包炎所見相同,心血管造影顯示右心受壓畸形和右室流出道受阻。
(一)手術適應證
漏斗胸影響心肺功能及有精神負擔的,應該手術治療。漏斗指數大於0.2的均應手術。手術時機的選擇尚有爭論,多數專家認為3~10歲手術為宜,也有人主張只要看到明顯的畸形,無論年齡大小都應立即手術,而不應該等到有嚴重的臨床症狀以後再手術,年齡越輕,治療效果越好,需要手術的範圍越小。嬰幼兒手術時很少需要輸血,也很少需要切除肋骨軟骨關節以外的部分,較大年齡的患者往往需切除骨質肋胃,也往往需要輸血。實際上有些症狀在手術前可能并未覺察,而在手術後才發現這些症狀消失了。嬰幼兒吸氣時胸壁明顯反常內陷,加重了凹陷的畸形,因此一些作者認為當用力呼氣時明顯的畸形仍然存在就應認為是有恆定的畸形,應該手術糾正。
(二)手術方法1.肋骨成型術 單側較深而不涉及胸骨的漏斗胸,可以行肋骨成型術。方法是從中線向患側作一曲線切口,在肋軟骨骨膜和肋骨骨膜下解剖畸形的肋軟骨和肋骨,做多個橫行切口糾正畸形後,將肋軟骨向上拉向胸骨,用縫線將肋軟骨縫在胸骨前面,然後縫合骨,用縫線將肋軟骨縫在胸骨前面,然後縫合皮膚,這種手術簡單,適合於較輕的漏斗胸。
2.胸骨抬高術 是將畸形的全長肋軟骨(第3~6肋軟骨),自肋軟骨骨膜下切除使胸骨自第2肋骨以下完全游離,在胸骨的上端相當於第2肋骨水平的胸骨後板作磺行截骨,在截骨處鉗入肋軟骨片,并縫合固定,這樣就使胸骨抬起了。然後再將第2肋軟骨由內前向外後斜行切斷,將肋軟骨的內側端重疊在肋軟骨的外側端上縫合固定,即三點固定法,最後將肋間肌和腹直肌分別縫合在胸骨上,并縫合皮膚。這種方法術後可能出現反常呼吸,有人用金屬針或金屬板加強固定,可以避免術後反常呼吸及術後胸骨再度塌陷。此法的缺點是需要再次手術取除固定金屬材料,因此不太受歡迎。
3.胸骨肋骨抬高術 特別適用於肋軟骨肋骨骨質都比較柔韌的較年輕的患者。正中切開皮膚後,顯露凹陷的胸骨及肋軟骨,在肋軟骨骨膜下將肋骨游離出來,在接近胸骨處切斷第3至7肋軟骨,并將各肋間肌向側方切開,使肋骨及肋軟骨前端具有充分的游離性,將肋軟骨腹面作多處橫行楔狀切除,使肋軟骨向上抬起,恢復到正常的走行位置,剪除過長的肋軟骨,用滌綸線將相應的肋軟骨斷端縫合,使胸廓的前後徑加大接近正常形態,兩側肋軟骨向上牽拉的合力將凹陷的胸骨向上抬起,故稱胸骨肋骨抬高術。
4.帶上、下血管帶蒂胸骨翻轉術 胸腹部正中皮膚切口將兩側胸大肌分別向外側游離,顯露凹陷的胸骨和兩側畸形的肋骨及肋軟骨,并沿腹直肌外緣游離腹直肌至臍水平,切開肋弓下緣,用手指游離胸骨及兩側肋軟骨內面的胸膜,直至凹陷畸形的外側,自畸形肋軟骨的兩側起始部切斷第7至第3肋軟骨及肋間肌,在第2肋間水平分離出兩側的胸廓內動靜脈,并向上下各游離出4~5cm,用線鋸在此水平橫斷胸骨,使凹陷的胸骨和兩側肋軟骨完全游離,然後將胸肌板及肋軟骨帶著胸廓內動靜脈及腹直肌均呈十字交叉狀態。翻轉後的胸骨原來最凹陷處變成最突出的部分,可以適當加以修剪,使胸骨變平整。用不鏽鋼絲縫合胸骨橫行斷端,并用滌綸線縫合相應的每一根肋軟骨斷端及肋間肌,縫合時切除過長的肋軟骨,使翻轉後的胸骨肋軟骨板能夠非常合適的固定在原來的位置,固定後在胸骨後放置閉式引流管,然後縫合胸大肌、皮下組織和皮膚。
本法術中不切斷胸廓內動靜脈和腹直肌,胸骨的血液循環能夠保持正常,確保了術後胸骨的正常成長發育,只要術中將胸廓內動靜脈充分游離4~5cm長度,手術翻轉時一般不會遇到任何困難,胸廓內動靜脈及腹直肌雖然呈十字形交叉,但動脈搏動有力,靜脈不會淤滯。手術後胸壁穩定,無反常呼吸,患者可以早日下地活動,畸形糾正效果板滿意。個別患者術後2~3個月後出現上胸部橫斷胸骨處輕度局限凹陷,有人主張用胸骨牽引架進行牽引,可以糾正上述缺陷。5.帶腹直肌蒂胸骨翻轉術 此法與帶上、下血管蒂胸骨翻轉術的不同在於本法切斷胸廓內動靜脈,只保留腹直肌蒂作為血液供應的來源。手術操作與前法基本相同,只是在橫斷胸骨時先結紮切斷胸廓內動靜脈,然後再橫斷胸骨,將胸骨及肋軟肌板帶著腹直肌蒂翻轉180°,修整變形的胸骨板後縫合固定在原來的位置。
6.無蒂胸肌翻轉術(和田法) 採用胸骨正中或雙側乳腺下橫切口,游離胸大肌和腹直肌,顯露畸形的胸骨、肋軟骨和肋骨,從畸形開始凹陷的部位稍骨側自肋弓開始向上依次切開兩側肋軟骨骨膜,切斷肋軟骨,并將肋軟骨和胸肌自骨膜內剝出,在胸骨向下凹陷的上一肋間處橫斷胸骨,完整并剪除可能附著的部分肋間肌和軟組織等,用抗生素溶液沖洗後,用鋼絲將翻轉180°的胸骨板固定在胸骨柄處,剪除過長的肋軟骨,然後用滌綸線縫合固定在相應的肋骨部位,縫合肌內及皮膚。
7.胸骨翻思索加重疊術 部分患者上胸部扁平或凹陷,手術中可以在胸骨板翻轉後,將胸骨上端的前面切成斜面狀,插入胸骨柄前面的骨膜,使部分胸肌重疊,胸骨板向上移間,用鋼絲將重疊的胸骨縫合固定,用滌綸線縫合肋軟骨,部分過長的肋軟骨也重疊縫合,這樣術後的胸廓外形糾正的更加滿意。
胸骨翻轉術比較適合於成後患者,因為成年胸骨抬高術等均難以整復。胸肌翻轉術後并未發現胸骨血運障礙,而使胸骨遭到破壞或被機體排斥。手術效果滿意。